发布人:日期:2025年01月10日 18:18浏览数:
选择性自噬受体p62/SQSTM1是一种多功能支架蛋白,能够通过识别并结合泛素分子标记的靶蛋白,将其转运至自噬体并降解。已有研究表明,p62/SQSTM1参与多种免疫因子的调控,包括RIG-I、cGAS、MAVS、STING和IRF3。然而,p62/SQSTM1在硬骨鱼抗病毒免疫中的作用有待深入探究。
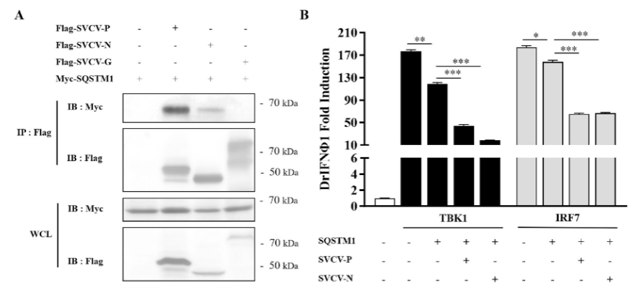
本研究克隆并鉴定了湘云鲫2号的SQSTM1基因(3nSQSTM1)。基因分析表明,3nSQSTM1编码457个氨基酸,包含PB1、ZnF-ZZ、EIR、LIR和UBA五个关键结构域。SVCV(鲤春病毒血症病毒)感染实验结果表明,3nSQSTM1的mRNA水平在脾、肝、肾及尾鳍细胞系中显著上调,提示其可能在宿主抗病毒免疫中发挥重要作用。进一步研究发现,3nSQSTM1能够通过抑制IFN启动子的活性以及阻碍RLR信号通路的核心因子(如3nTBK1和3nIRF7)的功能,显著削弱宿主的抗病毒能力。免疫共沉淀实验表明,3nSQSTM1与3nTBK1和3nIRF7存在直接相互作用,并通过抑制3nTBK1的泛磷酸化水平和削弱3nTBK1与3nIRF7的结合,阻碍了TBK1-IRF7轴的抗病毒活性。此外,3nSQSTM1还与SVCV编码的N和P蛋白直接结合,这种相互作用进一步增强了3nSQSTM1对IFN信号的抑制作用,表明SVCV可能通过劫持3nSQSTM1来逃避宿主的抗病毒免疫反应。
该研究首次揭示了p62/SQSTM1在三倍体湘云鲫2号抗病毒天然免疫中的功能,表明其通过负调控TBK1-IRF7轴的活性抑制干扰素信号通路,从而削弱宿主的抗病毒能力。这一发现不仅为SVCV的免疫逃逸策略提供了新线索,也为鲤春病毒血症(SVC)的防控及鱼类健康养殖提供了重要的理论依据和潜在的分子靶点。
该研究成果以“Selective autophagy receptor p62/SQSTM1 inhibits TBK1-IRF7 innate immune pathway in triploid hybrid fish”为题,发表在Fish & Shellfish Immunology期刊上。淡水鱼类发育生物学国家重点实验室2023级博士研究生李政豪为论文第一作者,冯浩教授为论文通讯作者。本研究得到了国家自然科学基金和湖南省自然科学基金等项目的资助。

图1 SQSTM1抑制TBK1和IRF7所介导的抗病毒活性

图2 SVCV编码蛋白N和P蛋白与SQSTM1具有相互作用